Restoring Function, Stability, and Quality of Life
At The Foot and Ankle Medical Group, our board-certified podiatric surgeons specialize in advanced reconstructive surgery for complex foot and ankle conditions. Whether caused by trauma, deformity, or chronic disease, our goal is to restore stability, relieve pain, and help you return to an active lifestyle.
What Is Reconstructive Foot and Ankle Surgery?
Reconstructive surgery addresses severe injuries, deformities, or complications that affect the bones, joints, ligaments, tendons, and soft tissue of the foot and ankle. These procedures often require precise realignment, stabilization, and sometimes grafting to rebuild normal structure and function.
Common Conditions We Treat
Our surgeons have extensive experience managing both routine and complex reconstructive cases, including:
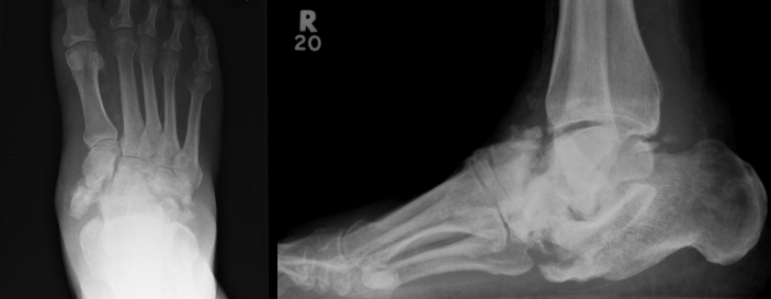
Charcot Foot Reconstruction
- Overview: Charcot neuroarthropathy is a serious complication of diabetes that weakens bones and joints, causing collapse and deformity.
- Treatment: We perform staged reconstruction, including realignment osteotomies, internal or external fixation, and fusion procedures to restore a stable, plantigrade foot.
- Goal: Preserve the limb, improve mobility, and prevent ulceration or amputation.

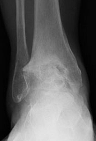
Foot & Ankle Fractures
- Overview: Traumatic injuries to the ankle, midfoot, or forefoot can lead to joint instability and arthritis if not properly treated.
- Treatment: We utilize modern fixation techniques (plates, screws, intramedullary nails, and external frames) to achieve precise alignment and promote bone healing.
- Goal: Restore anatomic alignment, maintain joint function, and allow early rehabilitation.

Tendon and Ligament Repair
- Overview: Chronic tears or ruptures of the Achilles, posterior tibial, or peroneal tendons can cause pain, weakness, and deformity.
- Treatment: Our surgeons perform primary repairs, tendon transfers, or graft augmentation depending on the extent of damage.
- Goal: Restore tendon strength and balance to improve gait and stability.

Post-Traumatic and Arthritic Deformities
- Overview: Previous injuries or arthritis can cause joint collapse, stiffness, and pain.
- Treatment: We offer reconstructive fusions, osteotomies, and joint replacement procedures to realign and stabilize the affected area.
- Goal: Relieve pain and enhance function.

Our Approach
Our reconstructive philosophy combines advanced surgical techniques with personalized care:
- Preoperative 3D imaging for accurate surgical planning
- Use of biologic grafts, bone stimulators, and custom fixation systems
- Close coordination with vascular and wound care specialists when needed
- Comprehensive postoperative rehabilitation and follow-up
Postoperative Care & Recovery
Recovery depends on the type and complexity of the procedure. Typical protocols include:
- Immobilization: Casting or protective boot for 6–8 weeks
- Physical Therapy: Gradual transition to weight-bearing and strengthening
- Monitoring: Regular follow-up visits to ensure proper healing
- Return to Activity: Most patients resume daily activities within 3–6 months, with continued improvement for up to one year
Why Choose The Foot and Ankle Medical Group
With over 50 years of combined surgical experience, our team has helped thousands of patients regain function and avoid amputation. We utilize state-of-the-art technology, advanced grafting techniques, and a compassionate, patient-centered approach to achieve the best possible outcomes.
Explore Our Expert Care
Discover the achievements of Foot and Ankle Medical Group, where we have transformed lives through dedicated foot and ankle care. Take a look at some key statistics:
30+
Years of Expertise
200,000+
Successful Treatments
14,000+
Active Patients
4+
Dedicated Specialists
Begin Your Journey to Foot Health at Foot and Ankle Medical Group
At Foot and Ankle Medical Group, we prioritize your health above all. Schedule an appointment today and receive top-tier care from our team of skilled physicians. Committed to excellence, we employ advanced treatments and cutting-edge technology to enhance your foot and ankle health.
